DOG1

PDF Image Download Product PDF PDF Image MSDS Download Product PDF
Antigen Preparation
A partial recombinant protein of human DOG1
Background
"DOG-1, ANO1, or 'anoctamin 1'. Is the 986-amino acid protein is a member of Anoctamin family. DOG1 is a novel gene on gastrointestinal stromal tumors (GISTs) that encodes the chloride channel protein anoctamin 1, also known as discovered on GIST-1 (DOG1) protein. DOG-1 is expressed in gastrointestinal stromal tumors irrespective of kit or PDGFR alpha mutation status. By contrast to the original concept that DOG1 antibodies are specific to GIST neoplasms, the studies reviewed showed that the data suggest DOG1 positivity in select non-GIST tumors. Epithelial membrane antigen (EMA) and DOG1 are also used as marker of epithelial cells, particularly the luminal cells, of salivary gland tumors. The recent studies show that in normal tissues, DOG1 is expressed strongly in the intercellular canaliculi of eccrine glands, moderately in the myoepithelial cells of mammary and anogenital mammary-like glands. All apocrine-type cutaneous mixed tumors show apical-luminal positivity for DOG1.Other sweat gland tumors, including hidrocystadenoma, spiradenoma, cylindroma and apocrine carcinoma, also express DOG1 focally with an apical-luminal pattern."
PURIFICATION
The mouse IgG is purified by Protein A-Affinity Chromatography according to Isotyping
SPECIFICITY
This antibody recognizes human DOG1 protein. The other species are not tested.
FORMULATION
This affinity purified antibody is supplied in sterile Phosphatebuffered saline (pH7.2) containing antibody stabilizer
STORAGE
The antibodies are stable for 24 months from date of receipt when stored at –20oC to –70oC. The antibodies can be stored at 2oC-8oC for three month without detectable loss of activity. Avoid repeated freezing-thawing cycles.
Gene ID
55107
Applications/Suggested Working Dilutions
Western Blot
0.1-1 µg/ml
ELISA
0.01-0.1 µg/ml
Immunoprecipitation
2-5 µg/ml
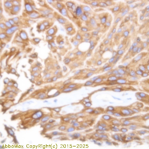
IHC
2-10 µg/ml
Flow cytometry
Not tested
Order Info
Catalog #: 605-780
Lot #:
Size: 100ug/200ul
Host: Mouse
Clone: ZY210
Isotyping: IgG1
Applications: IHC(P)
Reactivity: Hu
Price: $ 245.00
REFERENCES
©2011-2025 Abbomax.com. All rights reserved.