Cytokeratin 6
CK-6; cytokeratin 6; KRT6

PDF Image Download Product PDF PDF Image MSDS Download Product PDF
Antigen Preparation
A synthetic peptide of human Cytokeratin 6
Background
"The LHK6 antibody recognizes a protein of 56 kDa, cytokeratin 6. The protein is a member of the keratin gene family. The type II cytokeratins consist of basic or neutral proteins which are arranged in pairs of heterotypic keratin chains coexpressed during differentiation of simple and stratified epithelial tissues. As many as six of this type II cytokeratin (KRT6) have been identified; the multiplicity of the genes is attributed to successive gene duplication events. The genes are expressed with family members KRT16 and/or KRT17 in the filiform papillae of the tongue, the stratified epithelial lining of oral mucosa and esophagus, the outer root sheath of hair follicles, and the glandular epithelia. This KRT6 gene in particular encodes the most abundant isoform. Mutations in these genes have been associated with pachyonychia congenita. In addition, peptides from the C-terminal region of the protein have antimicrobial activity against bacterial pathogens"
PURIFICATION
The mouse IgG is purified by Protein A-Affinity Chromatography according to Isotyping
SPECIFICITY
This antibody recognizes human Cytokeratin 6 protein. The other species are not tested.
FORMULATION
This affinity purified antibody is supplied in sterile Phosphatebuffered saline (pH7.2) containing antibody stabilizer
STORAGE
The antibodies are stable for 24 months from date of receipt when stored at –20oC to –70oC. The antibodies can be stored at 2oC-8oC for three month without detectable loss of activity. Avoid repeated freezing-thawing cycles.
Gene ID
Applications/Suggested Working Dilutions
Western Blot
0.1-1 µg/ml
ELISA
0.01-0.1 µg/ml
Immunoprecipitation
2-5 µg/ml
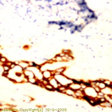
IHC
2-10 µg/ml
Flow cytometry
Not tested
Order Info
Catalog #: 605-612
Lot #:
Size: 100ug/200ul
Host: Mouse
Clone: LHK6
Isotyping: IgG2a
Applications: IHC(P), WB
Reactivity: Hu, Ms
Price: $ 245.00
REFERENCES
©2011-2025 Abbomax.com. All rights reserved.