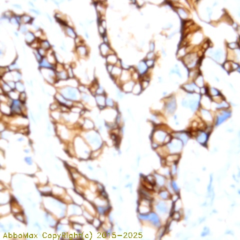
E-Cadherin

PDF Image Download Product PDF PDF Image MSDS Download Product PDF
Antigen Preparation
A synthetic peptide of human E-Cadherin
Background
"E-Cadherin is a classical cadherin of the cadherin superfamily. Alternative splicing results in multiple transcript variants, at least one of which encodes a preproprotein that is proteolytically processed to generate the mature glycoprotein. This calcium-dependent cell-cell adhesion protein is comprised of five extracellular cadherin repeats, a transmembrane region and a highly conserved cytoplasmic tail. Mutations in this gene are correlated with gastric, breast, colorectal, thyroid and ovarian cancer. Loss of function of this gene is thought to contribute to cancer progression by increasing proliferation, invasion, and/or metastasis. The ectodomain of this protein mediates bacterial adhesion to mammalian cells and the cytoplasmic domain is required for internalization"
PURIFICATION
The mouse IgG is purified by Protein A-Affinity Chromatography according to Isotyping
SPECIFICITY
This antibody recognizes human E-Cadherin protein. The other species are not tested.
FORMULATION
This affinity purified antibody is supplied in sterile Phosphatebuffered saline (pH7.2) containing antibody stabilizer
STORAGE
The antibodies are stable for 24 months from date of receipt when stored at –20oC to –70oC. The antibodies can be stored at 2oC-8oC for three month without detectable loss of activity. Avoid repeated freezing-thawing cycles.
Gene ID
999
Applications/Suggested Working Dilutions
Western Blot
0.1-1 µg/ml
ELISA
0.01-0.1 µg/ml
Immunoprecipitation
2-5 µg/ml
IHC
2-10 µg/ml
Flow cytometry
Not tested
Order Info
Catalog #: 605-730
Lot #:
Size: 100ug/200ul
Host: Mouse
Clone: 4A2C7
Isotyping: IgG1
Applications: IHC(P), WB
Reactivity: Hu
Price: $ 245.00
REFERENCES
©2011-2025 Abbomax.com. All rights reserved.