Cadherin-Ksp

PDF Image Download Product PDF PDF Image MSDS Download Product PDF
Antigen Preparation
"A synthetic peptide corresponding to the C-terminus of human cadherin-Ksp. This sequence is identical among human, mice and rat. "
Background
"Catherin KSP in humans is encoded by CDH16 gene. This gene is a member of the cadherin superfamily, genes encoding calcium-dependent, membrane-associated glycoproteins. Mapped to a previously identified cluster of cadherin genes on chromosome 16q22.1, the gene localizes with superfamily members CDH1, CDH3, CDH5, CDH8 and CDH11. The protein consists of an extracellular domain containing 6 cadherin domains, a transmembrane region and a truncated cytoplasmic domain but lacks the prosequence and tripeptide HAV adhesion recognition sequence typical of most classical cadherins. Alternatively spliced transcript variants encoding distinct isoforms have been identified. Cadherins are recognized as the principal mediators of homotypic cellular recognition and play a demonstrated role in the morphogenic direction of tissue development. Ksp-cadherin displays the classic calcium sensitivity to trypsin proteolysis that is observed in all cadherins. Immunolocalization studies and Northern analysis indicated that expression of Ksp-cadherin was kidney-specific and limited to the basolateral membranes of renal tubular epithelial cells. "
PURIFICATION
The mouse IgG is purified by Protein A-Affinity Chromatography according to Isotyping
SPECIFICITY
"This antibody recognizes human Cadherin-Ksp protein. It cross reacts to human, mice and rat. "
FORMULATION
This affinity purified antibody is supplied in sterile Phosphatebuffered saline (pH7.2) containing antibody stabilizer
STORAGE
The antibodies are stable for 24 months from date of receipt when stored at –20oC to –70oC. The antibodies can be stored at 2oC-8oC for three month without detectable loss of activity. Avoid repeated freezing-thawing cycles.
Gene ID
Applications/Suggested Working Dilutions
Western Blot
0.1-1 µg/ml
ELISA
0.01-0.1 µg/ml
Immunoprecipitation
2-5 µg/ml
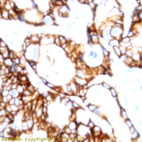
IHC
2-10 µg/ml
Flow cytometry
Not tested
Order Info
Catalog #: 604-790
Lot #:
Size: 100ug/200ul
Host: Mouse
Clone: ZY161
Isotyping: IgG1
Applications: IHC(P), WB
Reactivity: Hu, Ms, Rt
Price: $ 245.00
REFERENCES
©2011-2025 Abbomax.com. All rights reserved.