PD-L1 (CD274)

PDF Image Download Product PDF PDF Image MSDS Download Product PDF
Antigen Preparation
A recombinant protein of human PD-L1
Background
"CD274 (PD-L1) is a type I transmembrane protein of 290 amino acids, and it is a member of the B7 family. Human PD-L1 has 70% amino acid identity to its mouse orthologue. Binding of PD-L1 to its receptor PD-1 leads to the inhibition of T cell receptor–mediated lymphocyte proliferation and cytokine secretion. PD-L1 induces IL-10 production in T cells stimulated with low levels of anti-CD3. PD-L1/PD-1 interaction suppresses immune responses against autoantigens and tumors and plays an important role in the maintenance of peripheral immune tolerance. Disruption of the PD-L1 gene leads to up-regulated T cell responses and the generation of self-reactive T cells. Antibodies against PD-1 or PD-L1 leads to increased antitumor immunity. PD-L1 has an important role in conferring fetomaternal tolerance in an allogeneic pregnancy model; antibodies against PD-L1 lead to a breakdown in maternal tolerance to the fetus. PD-L1 shares its receptor with PD-L2 (CD273, B7-DC). PD-L2 has a more limited expression than PD-L1, being expressed on activated macrophages and dendritic cells. PD-L1 is expressed in many tumors, and the interaction with its receptor activates signaling pathways that inhibit T-cell activity and therefore the antitumor immune response. Antibodies targeting PD-1 or PD-L1 block the PD-1 pathway and reactivate T cell activity"
PURIFICATION
The mouse IgG is purified by Protein A-Affinity Chromatography according to Isotyping
SPECIFICITY
This antibody recognizes human PD-L1 (CD274) protein. The other species are not tested.
FORMULATION
This affinity purified antibody is supplied in sterile Phosphatebuffered saline (pH7.2) containing antibody stabilizer
STORAGE
The antibodies are stable for 24 months from date of receipt when stored at –20oC to –70oC. The antibodies can be stored at 2oC-8oC for three month without detectable loss of activity. Avoid repeated freezing-thawing cycles.
Gene ID
Applications/Suggested Working Dilutions
Western Blot
0.1-1 µg/ml
ELISA
0.01-0.1 µg/ml
Immunoprecipitation
2-5 µg/ml
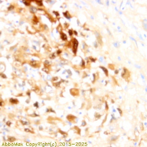
IHC
2-10 µg/ml
Flow cytometry
0.5-5 µg/106 cells
Order Info
Catalog #: 604-730
Lot #:
Size: 100ug/200ul
Host: Mouse
Clone: ZY349
Isotyping: IgG1
Applications: IHC(P), FC
Reactivity: Hu
Price: $ 245.00
REFERENCES
©2011-2025 Abbomax.com. All rights reserved.