CD15/SSEA-1
Blood Group Antigen Lewis X (LeX); CD15; SSEA-1; ELFT; FCT3A; FUT-IV; SSEA-1

PDF Image Download Product PDF PDF Image MSDS Download Product PDF
Antigen Preparation
A recombinant protein of human CD15
Background
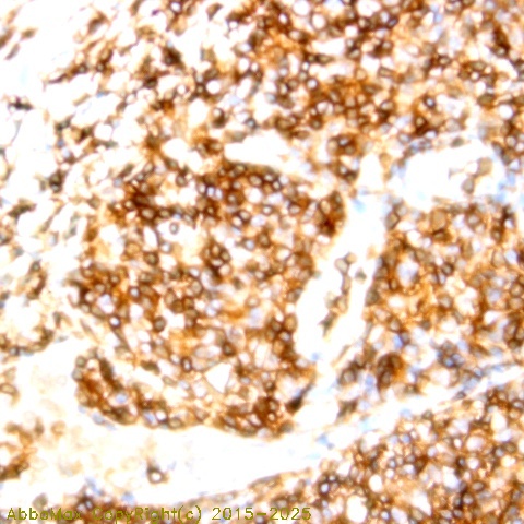
"SSEA-1/CD15 is a stage-specific embryonic antigen 1 which presents on myelomonocytic cells and Lacto-Nfucopentose III (also known as hapten X). It is present on greater than 90% of granulocytes including neutrophils and eosinophils, and to a lesser degree, on monocytes. CD15 is expressed in Reed-Sternberg cells of Hodgkin’s disease (of the nodular sclerosis, mixed cellularity and lymphocyte-depleted subtypes). This antibody recognizes myeloid cells, mainly granulocytes but not on B cells, T cells, monocytes, erythrocytes or platelets. Positive staining for CD15 combined with a negative reaction for lymphocytic markers may provide support for Hodgkin’s disease. Fifty percent or more of adenocarcinomas have been described as showing significant cytoplasmic positivity for CD15. It does not detect most mesotheliomas"
PURIFICATION
The mouse IgG is purified by Protein A-Affinity Chromatography according to Isotyping
SPECIFICITY
This antibody recognizes human CD15/SSEA-1 protein. The other species are not tested.
FORMULATION
This affinity purified antibody is supplied in sterile Phosphatebuffered saline (pH7.2) containing antibody stabilizer
STORAGE
The antibodies are stable for 24 months from date of receipt when stored at –20oC to –70oC. The antibodies can be stored at 2oC-8oC for three month without detectable loss of activity. Avoid repeated freezing-thawing cycles.
Gene ID
Applications/Suggested Working Dilutions
Western Blot
0.1-1 µg/ml
ELISA
0.01-0.1 µg/ml
Immunoprecipitation
2-5 µg/ml
IHC
2-10 µg/ml
Flow cytometry
0.5-5 µg/106 cells
Order Info
Catalog #: 604-590
Lot #:
Size: 100ug/200ul
Host: Mouse
Clone: MMA
Isotyping: IgM
Applications: IHC(P), FC
Reactivity: Hu
Price: $ 245.00
REFERENCES
"Wu W, et al. 2017. Sci Rep. 7:44481"
©2011-2025 Abbomax.com. All rights reserved.