P40
AIS; KET; LMS; NBP; RHS; p40; p51; p63; EEC3; OFC8; p73H; p73L; SHFM4; TP53L; TP73L

PDF Image Download Product PDF PDF Image MSDS Download Product PDF
Antigen Preparation
A recombinant protein P40
Background
"P40 is a member of the p53 family of transcription factors. The functional domains of p53 family proteins include an N-terminal transactivation domain, a central DNA-binding domain and an oligomerization domain. Alternative splicing of this gene and the use of alternative promoters results in multiple transcript variants encoding different isoforms that vary in their functional properties. P40 and p63 are observed in many neoplastic tissues. P40 is a more sensitive and specific biomarker than p63 in distinguishing squamous cell carcinoma from adenocarcinoma."
PURIFICATION
The mouse IgG is purified by Protein A-Affinity Chromatography according to Isotyping
SPECIFICITY
This antibody recognizes human P40 protein. The other species are not tested.
FORMULATION
This affinity purified antibody is supplied in sterile Phosphatebuffered saline (pH7.2) containing antibody stabilizer
STORAGE
The antibodies are stable for 24 months from date of receipt when stored at –20oC to –70oC. The antibodies can be stored at 2oC-8oC for three month without detectable loss of activity. Avoid repeated freezing-thawing cycles.
Gene ID
8626
Applications/Suggested Working Dilutions
Western Blot
0.1-1 µg/ml
ELISA
0.01-0.1 µg/ml
Immunoprecipitation
2-5 µg/ml
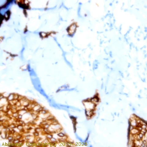
IHC
2-10 µg/ml
Flow cytometry
Not tested
Order Info
Catalog #: 606-120
Lot #:
Size: 100ug/200ul
Host: Mouse
Clone: ZY601
Isotyping: IgG1
Applications: IHC(P), WB
Reactivity: Hu
Price: $ 245.00
REFERENCES
©2011-2025 Abbomax.com. All rights reserved.